您所在的位置:网站首页 > 科普文章 > 文章正文

牙齿黄怎么办?

作者:张维贤  来源:  时间:2019-07-30 11:38:04  阅读量:
一、 牙齿为什么会变黄
      牙齿其实是由牙釉质、牙本质、牙骨质和牙髓4个部分组成。其中可能对牙齿颜色产生影响的,主要是牙釉质和牙本质。牙本质呈淡黄色,而牙釉质则是乳白色半透明的物质。我们看到的牙齿颜色,其实都是牙釉质和牙本质共同作用的结果。
 
牙齿变黄的原因主要有:

      牙釉质矿化程度高:牙釉质矿化度越高,透明度也就越高,牙本质的颜色就更明显,牙齿就容易显黄。这种情况很常见,也是完全健康的,不需要做特殊处理。
      外源性着色:烟渍、茶渍、咖啡渍等东西的色素和牙菌斑、牙结石会一起给牙齿穿个有色外衣。
      内源性着色:氟斑牙、四环素牙这些都是因为牙釉质、牙本质发生了结构缺陷,容易让牙齿变色;可乐龋、牙外伤、牙髓坏死这些疾病,也要影响牙齿的颜色。
 
二、 怎么让大黄牙变白

      外源性着色导致的牙齿变黄,通过超声洁牙、喷砂洁牙,配合上正确的刷牙方法,黄牙齿可以得到明显改善;
      内源性着色导致的牙齿变黄,主要可以采取牙漂白、树脂修复、瓷贴面以及全冠修复这些方式来进行治疗,改变牙齿表面的颜色,主要是把里面已经变色的地方遮起来。
 
1、超声洁牙

      也就是大家经常说的洗牙,主要用于清洁牙齿表面的菌斑、牙结石和外源性色素,并不会改变牙齿本身的颜色。
 
      牙漂白术:牙漂白术是利用过氧化物以氧化的方式去除牙齿的内源性色素。适用于外形完好,着色程度比较浅的牙齿。按照不同的漂白方式,又可分为外漂白和内漂白。

2、树脂修复
      树脂修复就是在牙齿表面涂一层薄薄的高分子树脂材料,遮盖牙齿的颜色,优势在于不用磨天然牙,并且操作简单。但是因为树脂的遮色能力有限,对于中重度的变色牙效果没得那么理想。

 
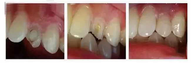
3、瓷贴面修复
      全瓷贴面修复就像一个瓷砖,牢牢地粘贴在牙齿表面,不要小看这个“瓷砖”,_薄可以做到0.3毫米,它的美观性和遮色能力非常好。当然,相比而言价格也不便宜,操作起来也稍微复杂一些。

4、全冠修复
      全冠修复简单点说就是给牙齿戴个帽子,包裹得严严实实地,一般采用全瓷材料,美观性很好。但是全冠修复需要磨除较多的天然牙,通常用来修复根管治疗后的牙齿,还能加强对牙齿的保护。
      有患者表示,做了牙齿美白之后,怎么没过几年牙齿又变黄了呢?其实,牙齿长期暴露在复杂的口腔环境中,每天都无法避免和色素、细菌等东西接触。所以,牙齿美白之后,效果的维持和自己的口腔清洁、维护有很大关系。没有什么美白方法是可以一劳永逸的哦!

【文章为科普用途,非宣传目的,未经许可不得转载,医疗内容请以医生诊断为准,部分配图来源互联网开放平台,如有侵权请联系删除】

看过本文的网友还看过:
推荐阅读
【微信扫一扫】 挂号/缴费/查询更快捷