您所在的位置:网站首页 > 科普文章 > 文章正文

牙为什么一天天变长了?

作者:张维贤  来源:  时间:2019-07-31 14:56:46  阅读量:
      你有没有过这样的体验,早上刷牙的时候,总感觉自己的牙还在生长发育,一天比一天长了,这到底是怎么一回事?
 

      三大原因造成牙齿“变长”:
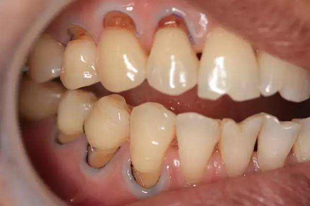
      一、牙周病导致的牙龈萎缩
      牙龈周围菌斑、牙结石大量堆积,细菌大肆滋生刺激牙龈,引发炎症,导致牙龈萎缩、牙齿松动、移位等问题,牙齿看上去就感觉像变长了。
      成年人多少都患有牙周疾病,但因进展缓慢常常忽略,发现问题时已到“牙周病末期”了,虽然可以通过牙周治疗去除牙结石,缓解炎症,但萎缩的牙龈却再也找不回来了。
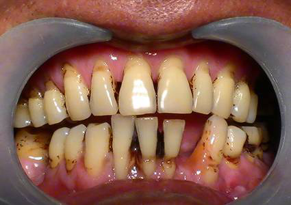
      很多人不及时治疗,都会发展成下面这种情况↓
      预防:防止牙周病_好的办法就是每半年到1年定期洗牙一次,洗牙是有效去除牙结石的唯一办法。
      治疗:如果已经患了牙龈萎缩的朋友,需要尽早进行牙周刮治,将牙龈边的牙结石清除干净,虽然之前的牙龈很难救回来了,但防止它继续萎缩下去也是非常必要的。
 

      二、不当刷牙导致的牙根暴露
      长期横向拉锯式刷牙或用过硬牙刷、刷牙过猛都会导致牙颈部磨损,牙颈部是牙齿薄弱部位,因此耐磨能力_差,长期磨损消耗会引起牙龈萎缩,牙根暴露,让我们感觉牙齿变长了。
      预防:选择合适的牙刷,建立正确的刷牙方式,它可以有效的防止牙颈部磨损。
治疗:如果已经有牙颈部缺损现象的朋友,要及时将缺损部位修补上,以防继续发展。
 

      三、长期牙缺失导致对颌牙伸长
      某颗牙齿长期缺失,会使得与它上下对应的牙齿失去功能,长时间无咬合接触,牙齿就会慢慢伸长。
      预防与治疗:牙齿缺失一定要及时镶牙。牙齿缺失危害多多,会造成牙槽骨萎缩、咀嚼功能减退、食物嵌塞、邻牙松动脱落等严重后果。

【文章为科普用途,非宣传目的,未经许可不得转载,医疗内容请以医生诊断为准,部分配图来源互联网开放平台,如有侵权请联系删除】

看过本文的网友还看过:
推荐阅读
【微信扫一扫】 挂号/缴费/查询更快捷