您所在的位置:网站首页 > 科普文章 > 文章正文

判断患有牙周炎的五大方法

作者:陈奕璇  来源:  时间:2019-08-13 08:43:24  阅读量:
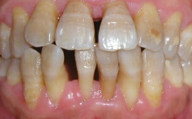
   牙周炎_常见的症状就是刷牙出血,牙龈肿胀,但因为其初期症状表现不明显,很多人都不以为然,所以导致了疾病的恶化,那么正确的判断是不是患有牙周炎呢?下面的文章为大家介绍,正确判断患有牙周炎的五大方法。
 


      1、牙龈出血
  牙周炎的症状,主要表现为牙龈红肿、出血,不仅在刷牙时出血,有时在说话或咬硬物时也要出血,偶也可有自发出血。牙龈颜色暗红,由于水肿显得比较光亮。健康的牙龈即使用力刷牙或轻探龈沟均不引起出血。而在初期和早期龈炎阶段,轻探龈沟即可出血。它比牙龈颜色的改变出现的早些,而且也较客观。所以,探诊出血可作为诊断牙周有无炎症的重要指标。

  2、牙齿松动
  早期的牙周炎牙齿不松动,只有在慢性破坏性炎症发展到一定的程度,牙周组织支持力量大为减弱时,才可以导致牙齿松动。

  3、牙周袋形成
  在正常情况下,健康牙龈的龈沟深度不超过2mm,超过两毫米则为牙周袋。牙周袋的形成说明炎症已从牙龈发展到牙周支持组织,使较深层的牙周组织感染,慢性破坏,脓性分泌物可以从牙周袋溢出。

  4、牙龈退缩
  牙龈退缩也是牙周炎的症状之一,但患者常不易察觉。局部因素引起的牙周炎,由于长时间受大量牙石的压迫,刺激牙龈,所以,龈缘外形出现水平式的退缩。出现牙周炎后,一般人都会有以上这些的症状出现,如果你有相关表现出现,说明您很有可能已经患上牙周炎了。如果您还是无法判断,那就需要去医院检查了。

  对于上述文章介绍的,正确判断患有牙周炎的五大方法,大家是不是都知道了呢!大家生活中一定要注意自身的饮食习惯和口腔卫生,如果出现了上述的症状就要及时的就诊治疗。

【文章为科普用途,非宣传目的,未经许可不得转载,医疗内容请以医生诊断为准,部分配图来源互联网开放平台,如有侵权请联系删除】

看过本文的网友还看过:
推荐阅读
【微信扫一扫】 挂号/缴费/查询更快捷