您所在的位置:网站首页 > 科普文章 > 文章正文

这些药物会引起牙龈增生,警惕!

作者:杨求智  来源:  时间:2019-09-04 08:58:13  阅读量:
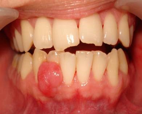
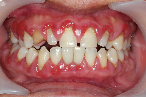
      长期服用某种药物可能引起牙龈增生,临床表现为牙龈边缘和牙龈乳头增生,从_初的小球状逐渐融合、增大、直到覆盖部分牙冠。增生部分大多质地坚韧,略有弹性,一般不痛、不出血。临床上钙离子拮抗剂、抗癫痫药、免疫抑制剂是引起牙龈增生_常见的药物。

      降压药:钙离子拮抗剂长期使用可引起牙龈增生,其发生机制可能是通过干扰细胞内钙离子流动降低α2β1 整联蛋白的结合力,从而降低整联蛋白介导的成纤维细胞的吞噬功能。据文献报道,硝苯地平、尼群地平、尼卡地平、氨氯地平、非洛地平、贝尼地平、尼卡地平、维拉帕米、地尔硫卓等均可能会引起牙龈增生,其中氨氯地平、非洛地平临床使用年限较短,牙龈增生的报道比较少见。

      抗癫痫药:长期使用抗癫痫药苯妥英钠、卡马西平、氯巴占、地西泮、加巴喷丁、左乙拉西坦、苯巴比妥、扑米酮、托吡酯、丙戊酸、唑尼沙胺均可导致牙龈增生,其中以苯妥英钠_为常见。苯妥英钠导致牙龈增生的机制,与其对抗糖皮质激素对纤维母细胞胶原酶的诱导增生作用有关。这种不良反应多见于儿童和年轻患者,在长期服药患者中的发生率约为 20%。
      免疫抑制剂:免疫抑制剂环孢素、他克莫司、依维莫司、西罗莫司、霉酚酸酯均有引起牙龈增生的报道。其中环孢素可能与该药直接作用牙龈中的肥大细胞,引起肥大细胞脱颗粒释放介质,从而刺激纤维组织增生。他克莫司引起牙龈增生的发生率为 14%~17%,明显低于环孢素。

      其他:个案报道了关于血管紧张素转化酶抑制剂卡托普利引起牙龈增生。

      那么,药物引起牙龈增生如何防治?如果病情允许,应首先停用导致牙龈增生的药物,换用其他药物,例如以其它降压药物代替钙离子拮抗剂;若用相关药物不便停用,如免疫抑制剂如环孢素引起的牙龈增生,可在不停用环孢素的情况下,使用2周疗程的甲硝唑有效治疗牙龈增生(具体机制尚不明确),阿奇霉素也可能有效,特别是轻度或早期牙龈增生的患者。

      对于停药或者换药后仍不能消除的患者,可考虑化学措施(刷牙、使用牙线和抗微生物性洁牙剂和漱口水)和机械控制菌斑。若认真进行口腔清洁,仍影响无法改善的患者可以到汕头口腔医疗中心咨询治疗。

【文章为科普用途,非宣传目的,未经许可不得转载,医疗内容请以医生诊断为准,部分配图来源互联网开放平台,如有侵权请联系删除】

推荐阅读
【微信扫一扫】 挂号/缴费/查询更快捷