您所在的位置:网站首页 > 科普文章 > 文章正文

什么是牙齿脱矿?

作者:杨求智  来源:  时间:2018-07-09 18:36:25  阅读量:
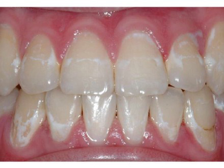
      有的患者在牙齿矫正过程中会发现,自己钢牙的周围有白垩色的小斑点。这些小点或者斑块,就是牙齿脱矿了。也就是牙齿外层的牙釉质有点蛀牙了。

      牙齿脱矿的原因
      牙齿矫正期间由于不容易对牙齿进行彻底清洁,菌斑就容易沉积。尤其是托槽旁边、钢丝下面,还有钢丝与牙龈之间的清理死角区域,是菌斑沉积的易发之地。所以,牙齿矫正的比较容易出现牙釉质脱矿的现象,症状为牙齿的白垩色斑点。

      怎么预防牙齿矫正脱矿?
      需要时刻注意保持口腔卫生。特别是在饭后更应清洁口腔,_好是要刷牙,至少也要进行饭后漱口,将残留在牙齿间隙的残留物及时的清理出去,以免对牙齿继续造成损伤。

      摘下牙套后牙齿脱矿就会好了吗?
      牙套摘掉后有很多方法可以改善牙齿上的斑点。比如说渗透树脂,就是用一种新型的补牙材料渗入孔隙,彻底阻断早期蛀牙的进展。

      为防止出现牙齿脱矿的现象。汕头口腔医疗中心医师建议:生活中要避免进食过冷过硬或者甜食、酸性食物,以免造成牙齿不适感。平常注意多饮白开水,起到清洁口腔的作用,注意节制饮用碳酸饮料,碳酸饮料中含有机酸,而有机酸能分解钙质,进而侵蚀到牙齿,造成牙齿脱矿。

      另外,选择正确的牙刷进行刷牙也很重要。虽说硬毛牙刷清洁效果好,但硬毛牙刷对牙齿的磨损较大,如果经常使用的话,会损伤牙釉质加重脱矿,而且也使得牙齿容易变黄。应该硬毛牙刷和软毛牙刷交替使用,每隔3到4天使用一次硬毛牙刷,彻彻底底的清理牙齿。

【文章为科普用途,非宣传目的,未经许可不得转载,医疗内容请以医生诊断为准,部分配图来源互联网开放平台,如有侵权请联系删除】

看过本文的网友还看过:
推荐阅读
【微信扫一扫】 挂号/缴费/查询更快捷