您所在的位置:网站首页 > 科普文章 > 文章正文

可以通过什么修复方式,保留有价值的残根残冠?

作者:张维贤  来源:  时间:2019-04-11 11:01:57  阅读量:
      保留有价值的残根残冠可以在心理和生理上,对患者的健康保护起到相当重要的作用。那么,什么样的残根残冠才值得被保留?余留的残根残冠,可以通过什么方式来进行修复保护?
 
可保留的残根、残冠应具备如下条件:

      1、牙根不松动;
      2、根周组织无病变或病变可以治愈;
      3、牙根根面应高出牙龈1-2mm; 或牙根根面与龈缘齐平;或牙根断端位于龈下3.5mm以内。
      4、牙根的角度正常(相对于该部位)。
      不符合以上条件的残根残冠,牙科医生一般会予以拔除处理。

保留残根后修复的种类:

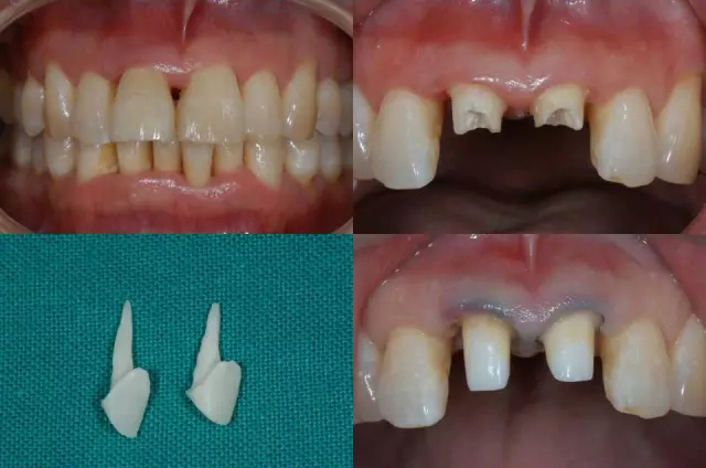
      1. 利用残根、残冠做桩冠修复
      单纯根桩或金属核桩来恢复牙冠,这种方式叫桩冠。既舒适又美观,足以乱真。在残根两侧少数牙缺失时,适用处理后的牙根做桩冠固位体或金属核固位体,将大大提高义齿的质量。桩长应≥2/3根长,根尖必须有≥4 mm 的根尖封闭区,尤其要注意牙槽骨内桩长必须≥牙槽骨内根长的1/2
 
金属状粘接后
 

全瓷桩及粘接后
 

纤维桩粘接后
 
      2利用残根、残冠做固定修复
      固定修复美观、舒适、功能良好,而且不破坏邻接牙。将残根、残冠拔除,拔牙后牙槽窝恢复缓慢,而且等待镶牙的时间长。如果牙槽嵴严重吸收,特别是下颌义齿的固位较差,咀嚼功能就很差,如能适当保留并修复两个以上的残根、残冠,则可较大的提高固位能力,并提高咀嚼功能。
 
      3保留牙根作可摘覆盖义齿
      保留牙齿残根改善义齿的支持和固位,装活动假牙更舒适。残根作为覆盖义齿的基牙,较黏膜支持式义齿其支持作用大大提高。位于口腔后部的牙根,可以为活动假牙提供必要支持,当活动假牙咀嚼食物时,咀嚼力可以转移到坚硬的牙根上,而不是直接加载到柔弱口腔黏膜上,这样可以避免镶活动牙后的疼痛和不稳定问题。将残根、残冠做金属盖帽后,再做活动覆盖义齿,不仅可以保存牙槽嵴的功能,减缓牙槽骨吸收,且有利于咬合力传导,防止义齿下沉。

      合理地保留残根、残冠能够大大提高义齿修复后的咀嚼效率,提高患者的生活质量,因此,一般情况下,不要轻易拔除残根、残冠。一切有保留价值的残根、残冠都应该尽力保留,以提高义齿的修复效果。

【文章为科普用途,非宣传目的,未经许可不得转载,医疗内容请以医生诊断为准,部分配图来源互联网开放平台,如有侵权请联系删除】

看过本文的网友还看过:
推荐阅读
【微信扫一扫】 挂号/缴费/查询更快捷