汕头日报 | 牙齿一受“刺激”就疼痛 或是发生牙隐裂,须及早诊治2024-08
汕头日报 | 换牙后7岁男孩变“大龅牙” 医生指出,早期...2024-08
汕头日报 | 7岁女孩“婴儿式吞咽”致畸 牙齿拥挤影响颜面...2024-08
汕头日报 | 两颗智齿发炎致肿胀疼痛 医生建议,没有咬合...2024-08
汕头日报 | 显微镜下疏通钙化根管 患者慢性牙髓炎获得根治2024-08
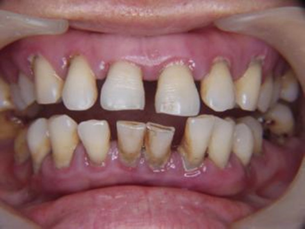
汕头日报 | 男子前牙缺失十余年 “结缔组织移植术”助其完...2024-08
汕头日报 | 张口呼吸,让牙齿很受伤 医生提醒:早期矫治可...2024-08
汕头日报 | 恒牙“跑偏”长在牙根中间 医生巧手为患者拔除2024-08


























































【微信扫一扫】


