您所在的位置:网站首页 > 科普文章 > 文章正文

牙冠怎么选?直接告诉你答案

作者:杨求智  来源:  时间:2019-06-19 16:33:19  阅读量:
      当我们的牙齿出现问题之后,牙齿可能会感到疼痛,或者出现裂纹,或者出现龋洞……无论是何种情况,它都会影响我们咀嚼食物,会给我们带来更多的危害,这些危害可能不是一天两天能够显现出来的,时间长了问题可能就会越来越明显,而且这些问题造成了损害,而且可能是不可逆的。

      所以当我们牙齿出现问题,缺损了,或者是有裂纹了,我们可以用牙冠把有裂纹的牙齿保护起来,把有缺损的这颗牙恢复起来。无论是牙齿的缺失还是破损,牙冠能够帮助我们的牙齿恢复一个完整性。

      但是牙冠都有哪些类型,患者又该如何进行选择?
      牙冠根据材料的不同大概分为两大类:一个叫金属烤瓷冠,一种叫全瓷冠。这两大类就是以含不含金属为前提,主要是以拍摄磁共振或者拍摄ct的角度来考虑。
      金属烤瓷冠
      金属烤瓷冠顾名思义里面会含有金属,这种金属分为贱金属和贵金属,根据含金量的不同可分为2%、50%、98.7%三种,随着含金量的增加,其生物相容性,牙色仿真度均有不同程度的提高;

      但是不论是贱金属还是贵金属,现在基本上都不太应用,因为从我们人的身体中是不含有任何金属成分的,如果长时间使用含金属的牙冠,牙龈可能会发生着色,影响美观;


      不仅如此,这种金属牙冠的应用还会影响到患者ct或者磁共振的拍摄,所以已经很少使用。
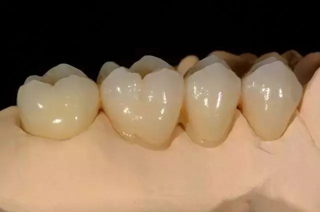
      全瓷冠
      全瓷牙牙冠完全由瓷粉构成,颜色和层次得到大水平显现。耐久性较好,能够在口腔内永世保管,没有金属基底,质量轻,密度仅为黄金的四分之一,佩戴更舒适,导热性能低,仅为黄金的十七分之一,更有利于维护牙髓安康。对光线的反射和散射更接近于自然牙,具有更好的美观效果。

      汕头口腔中心通常都会建议选用全瓷冠,全瓷冠分为很多种类,均不会影响ct和磁共振拍摄;现在临床中多采用二氧化锆冠,因为二氧化锆硬度较高,耐磨耗,相对不易折裂,用于后牙,可以很好的恢复功能。二氧化锆用于前牙,考虑到美观,需要在氧化锆外面进行烤瓷,增加透明度和层次感。
      当然,不同的牙冠也有不同的适应症,患者需要根据自己的牙齿状况、要求以及医生的建议进行综合考虑。但是一般都建议患者采用全瓷冠的修复,来达到_好的效果。

【文章为科普用途,非宣传目的,未经许可不得转载,医疗内容请以医生诊断为准,部分配图来源互联网开放平台,如有侵权请联系删除】

推荐阅读
【微信扫一扫】 挂号/缴费/查询更快捷