您所在的位置:网站首页 > 科普文章 > 文章正文

根管治疗时为什么需要反复拍摄X光片?

作者:张维贤  来源:  时间:2019-06-25 11:06:15  阅读量:
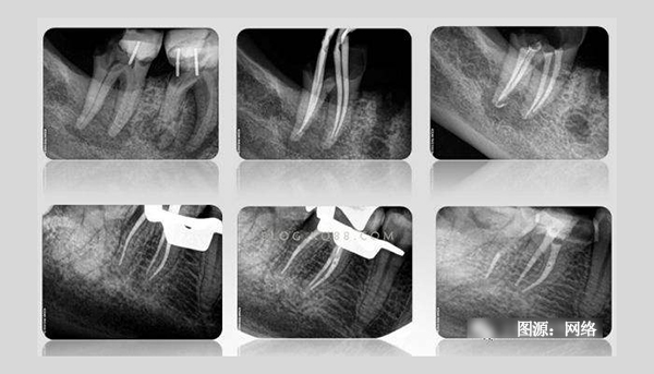
      有根管治疗史的患者都知道,在根管治疗过程中需要反复拍摄多次X光片。一般说来,完成一颗牙的根管治疗至少需要3张X光片:术前X光片、术中X光片、术后X光片。

      术前X线片反映患牙及牙周组织的客观情况—根管长度、根尖周牙槽骨密度等,目的主要是帮助牙医了解患牙的病变范围、牙根情况、根管数目以及根尖周病变情况,根管是否存在钙化,帮助医生判断患牙的预后以及根管治疗的难度,是牙科治疗的依据。

      术中需要对根管预备情况进行检查,主要是辅助测量根管长度,看根管预备是否到位,牙齿里面的神经是否清理干净。对于难度较大者需要一边进行根管预备一边插针拍X线片,以监测根管预备的方向和程度以求良好的治疗效果。

      术后X线片是为了观察根管治疗是否彻底,根管内充填物是否合适,判断根管治疗充填的质量是否到位。术后拍摄X线片,有助于医生对治疗效果的判断,如果治疗结果不满意可及时更正,以免出现不必要的复诊。根管治疗术后拍X线片片已成为检验根管治疗质量的手段之一,是根管治疗规范化操作的一部分。

      对于特殊病例需长期随访观察的,除患者临床表现外,X线片也是一项重要观察指标。

【文章为科普用途,非宣传目的,未经许可不得转载,医疗内容请以医生诊断为准,部分配图来源互联网开放平台,如有侵权请联系删除】

看过本文的网友还看过:
推荐阅读
【微信扫一扫】 挂号/缴费/查询更快捷