您所在的位置:网站首页 > 科普文章 > 文章正文

什么是嵌体,有什么优点?

作者:张维贤  来源:  时间:2019-06-25 11:14:09  阅读量:
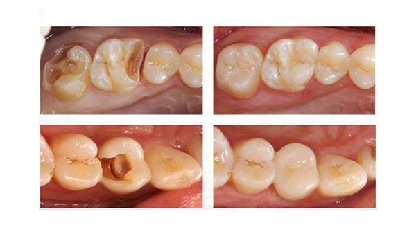
      嵌体是一种嵌入牙体窝洞内部,用以恢复牙体缺损的形态和功能的修复体。它是先将患牙制备成一定形状的窝洞,再按照窝洞的形态制作不同材料的修复体。根据嵌体覆盖牙面的不同,可分为单面嵌体、双面嵌体和多面嵌体。根据制作嵌体材料不同,可分为合金嵌体、树脂、瓷嵌体。
      由于嵌体是只能修复缺损部位的牙体,而不能保护剩余部分的牙体的修复体,所以嵌体只能在牙体虽缺损,但尚有较大体积的健康牙体组织余留时应用。也就是说作嵌体的牙冠必须有足够的高度和余留牙壁的厚度以使其获得固位与抗力。
嵌体有以下优点:
1、牙体预备量较少,能够保持牙齿外行的完整,减少牙髓刺激。
 
2、基本上不改变牙齿外凸度,有利牙周健康。
 
3、牙体预备过程中视野开阔,容易去净牙齿龋坏部分,保证牙齿长期健康。
 
4、边缘位于自洁区,为高度抛光,容易自洁,口腔无异味。
 
5、边缘呈短斜面,可防止继发龋,邻接点密合,可防止食物嵌塞。
 
6、保护牙齿薄壁弱尖和隐裂,防止牙尖折断和牙齿纵折。

【文章为科普用途,非宣传目的,未经许可不得转载,医疗内容请以医生诊断为准,部分配图来源互联网开放平台,如有侵权请联系删除】

看过本文的网友还看过:
推荐阅读
【微信扫一扫】 挂号/缴费/查询更快捷